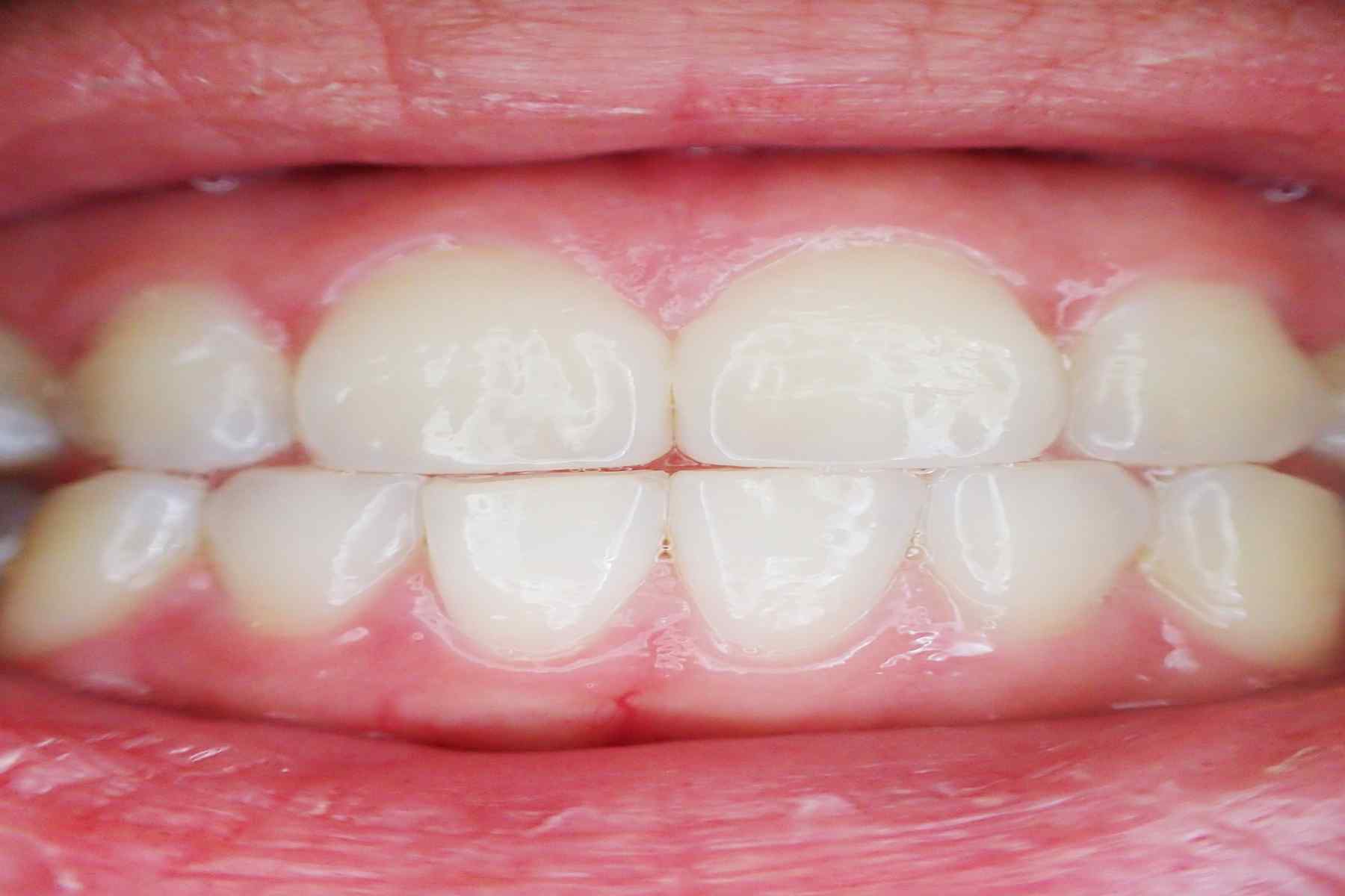
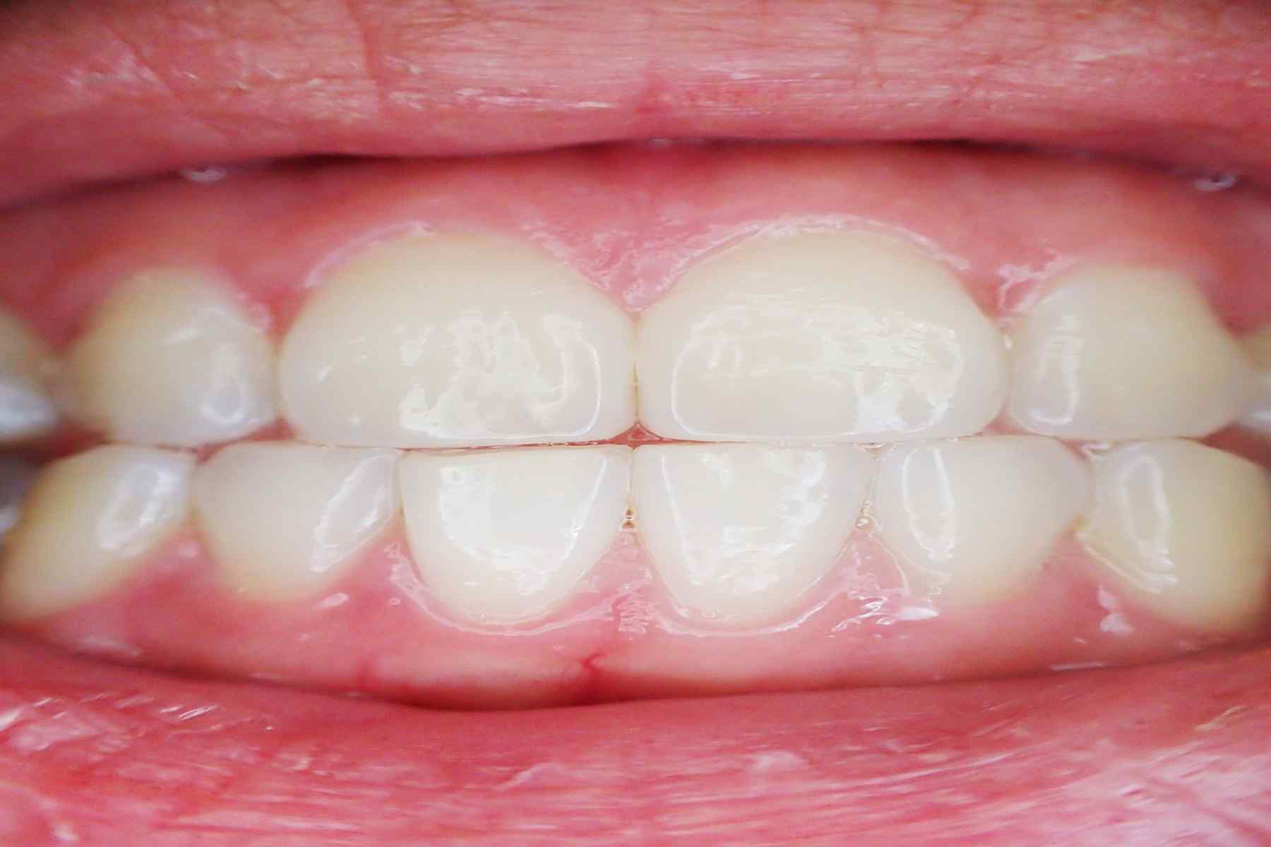
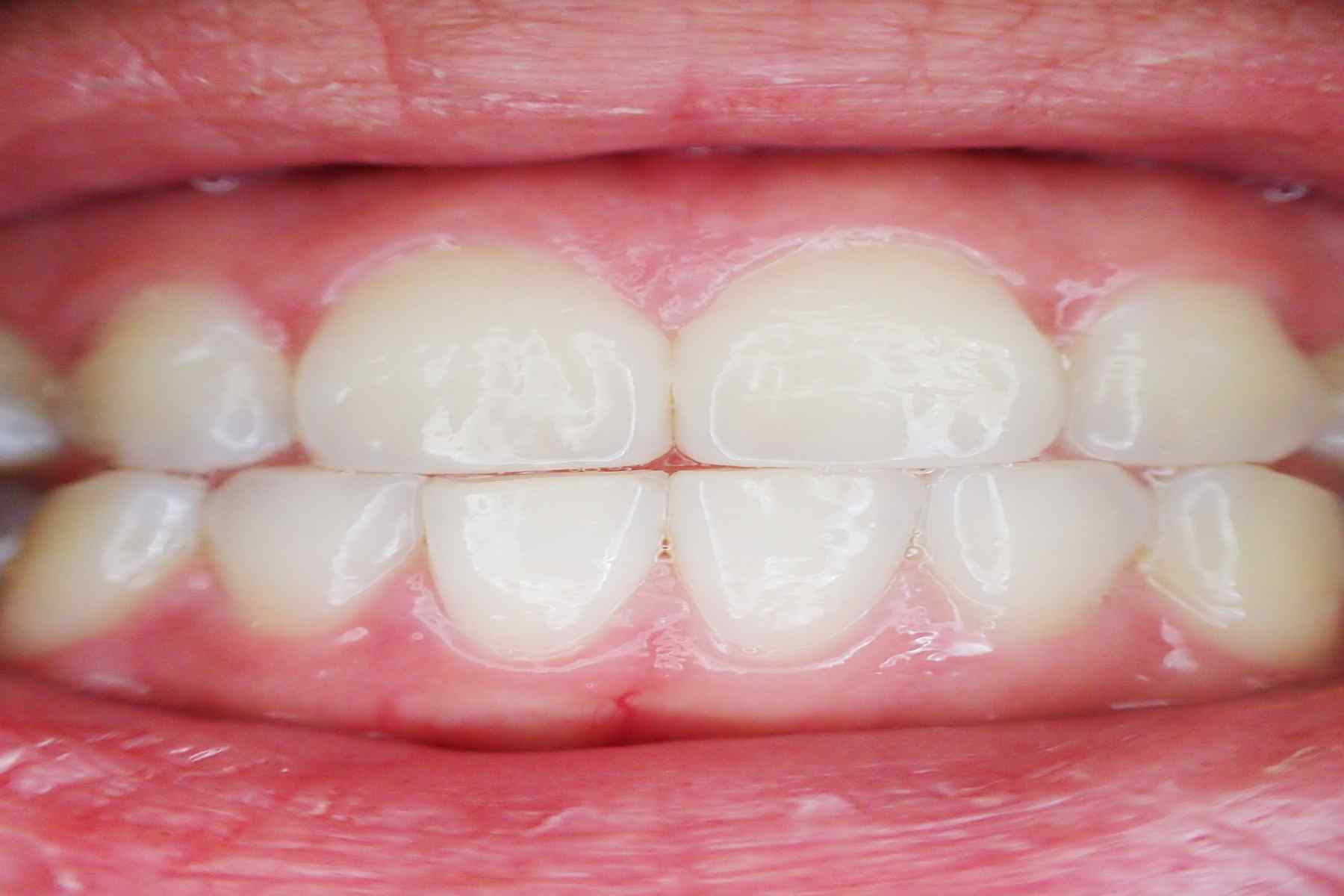
제로네이트와 래미네이트는 치아의 외관을 개선하고자 하는 사람들에게 인기 있는 선택지입니다
제로네이트는 기존 라미네이트의 단점을 보완하면서 자연치 보존, 높은 심미성, 강한 내구성 등 여러 장점을 제공합니다
하지만 모든 시술이 그렇듯 제로네이트 역시 장단점이 존재하며,주의사항을 잘 알고 선택하는 것이 중요합니다

제로네이트의 장점: 왜 선택해야 할까?
1.최소 삭제 또는 무삭제 시술
🦷 자연치 보존
제로네이트는 치아의 자연 상태를 최대한 보존하는 데 중점을 둔 시술입니다.
기존의 래미네이트와 달리 제로네이트는 치아 삭제량이 거의 없거나 아예 없는 것이 큰 장점입니다.
일반적인 라미네이트는 0.5mm에서 1mm 정도의 두께로 치아의 표면을 일부 깎아내야 하지만, 제로네이트는 0.01mm의 얇은 두께로 제작되어 치아를 거의 손상하지 않고도 붙일 수 있습니다.
🌿 치아 보존의 중요성
치아의 법랑질은 자연적으로 재생되지 않기 때문에, 한 번 손상되면 복구가 어렵습니다
. 따라서 치아를 최대한 보존하는 것이 장기적인 구강 건강에 유리합니다.
제로네이트는 이러한 법랑질의 손상을 최소화하여 자연 치아의 구조를 최대한 유지할 수 있게 해 줍니다.
💡 자연 치아의 보호
자연치를 보존하는 것은 치아의 강도와 기능을 유지하는 데 필수적입니다. 제로네이트는 치아의 자연적인 모양과 구조를 보존하며, 이는 치아의 내구성과 전체적인 구강 건강을 유지하는 데 기여합니다.

2 높은 심미성
🌟 자연스러운 외관
제로네이트는 매우 얇은 두께로 인해 자연스러운 치아 색상과 질감을 구현할 수 있습니다.
이는 기존 래미네이트보다 훨씬 자연스러운 외관을 제공하며, 치아와 잇몸 사이의 경계가 거의 보이지 않아 심미적으로 뛰어납니다.
🎨 맞춤형 디자인
제로네이트는 100% 수제작 방식으로 환자의 치아 형태, 배열, 색상 등을 맞춤형으로 제작할 수 있습니다. 이는 개개인의 치아 상태에 딱 맞는 디자인을 가능하게 하며, 개인의 미적 요구를 완벽히 충족할 수 있습니다.
📸 사진과도 같은 미소
제로네이트의 심미성은 치아를 촬영했을 때 더욱 돋보입니다. 자연스러운 색상과 반사광이 자연 치아와 거의 구별되지 않아, 웃을 때 자신감을 부여합니다.

3 내구성과 관리 용이성
💪 강한 내구성
제로네이트는 고급 세라믹 재질로 제작되어 높은 내구성을 자랑합니다.
일상적인 마모에도 잘 견디며, 사용자가 정상적인 씹는 힘을 가해도 쉽게 깨지지 않습니다.
이는 제로네이트가 오랜 시간 동안 사용할 수 있도록 해주는 중요한 장점입니다.
🛡️ 반영구적 유지
제로네이트는 색소에 의해 쉽게 착색되지 않기 때문에 반영구적으로 유지됩니다. 이는 색상이 쉽게 변하지 않아 오랫동안 깨끗하고 밝은 미소를 유지할 수 있도록 해줍니다.
🧼 관리의 용이성
제로네이트는 관리가 비교적 쉬운 편입니다. 정기적인 칫솔질과 치실 사용으로 구강 위생을 유지할 수 있으며, 이는 제로네이트의 수명을 더욱 길게 만들어 줍니다.
4. 기능적 개선
🔧 기능적 향상
제로네이트는 심미적인 개선뿐만 아니라 기능적으로도 확실한 개선이 가능합니다.
치아의 배열 문제나 돌출된 치아를 교정하는 데도 효과적입니다. 따라서 기능적 향상을 통해 전반적인 구강 건강을 개선할 수 있습니다.
🦷 균형 잡힌 치아
치아의 배열 문제를 해결함으로써 균형 잡힌 치아 구조를 만들어 줍니다. 이는 음식 섭취 시 불편함을 줄이고, 교합 문제를 개선하여 씹는 기능을 강화합니다.
5 적은 부작용
😌 민감성 감소
기존 래미네이트와 달리 제로네이트는 치아 삭제량이 적어 민감성을 줄일 수 있습니다.
이로 인해 시술 후 치아가 시리거나 불편함을 느끼는 경우가 줄어듭니다.
🦷 좋은 구강 위생
제로네이트는 구강 위생을 유지하는 데 도움이 되며, 정기적인 칫솔질과 치실 사용으로 관리가 가능합니다. 이는 장기적인 구강 건강을 유지하는 데 필수적입니다.

6 다양한 적용 범위
🔄 다양한 미용 문제 해결
제로네이트는 치아 변색, 칩, 틈, 기형 치아 등 다양한 미용 문제를 해결할 수 있습니다. 이는 다양한 치아 문제를 한 번에 해결할 수 있는 장점이 있습니다.
📊 적용의 유연성
제로네이트는 다양한 치아 문제를 해결할 수 있어, 개인의 필요에 맞춰 유연하게 적용할 수 있습니다. 이는 제로네이트가 많은 환자들에게 적합한 이유 중 하나입니다.


제로네이트의 단점: 알아두어야 할 것들
1 비용
💰 고가의 시술
제로네이트는 다른 치과 치료에 비해 비용이 높을 수 있습니다. 고급 재료와 정교한 제작 과정 때문인데, 일반적으로 50만 원에서 100만 원 사이의 비용이 발생할 수 있습니다. 이는 많은 환자들에게 경제적 부담이 될 수 있습니다.
📈 비용과 가치
제로네이트의 비용은 높은 품질과 장기적인 이점을 고려할 때 합리적일 수 있지만, 초기 투자 비용은 여전히 부담스러울 수 있습니다.
따라서 제로네이트 시술을 고려할 때는 비용 대비 효과를 충분히 검토해야 합니다.
2 민감성
🤕 치아 민감성
시술 후 일부 환자들은 치아 민감성을 경험할 수 있습니다. 이는 일시적일 수 있지만, 불편함을 초래할 수 있습니다. 특히 차거나 뜨거운 음식에 민감하게 반응할 수 있습니다.

🔍 민감성 관리
민감성을 줄이기 위해 민감성 치약을 사용하거나, 전문가의 지침에 따라 구강 관리 방법을 조정할 수 있습니다. 민감성이 지속되면 전문가의 상담을 받는 것이 중요합니다.
3 제한된 수리 옵션
🔧 수리의 어려움
제로네이트가 손상되거나 깨졌을 경우, 수리가 아닌 전체 교체가 필요할 수 있습니다. 이는 추가 비용과 시간을 요구할 수 있으며, 시술 후 유지 관리에 대한 부담을 증가시킬 수 있습니다.
🔨 수리와 교체의 비용
수리가 어려운 경우 전체 교체를 고려해야 하며, 이는 시간과 비용 면에서 추가적인 부담을 줄 수 있습니다.
4 좋은 구강 위생 필요
🧼 철저한 관리 필요
제로네이트의 외관과 내구성을 유지하기 위해서는 정기적인 칫솔질, 치실 사용, 그리고 정기적인 치과 검진이 필요합니다. 구강 위생이 좋지 않으면 제로네이트의 수명이 단축될 수 있습니다.
🧹 구강 관리의 중요성
제로네이트는 관리가 비교적 용이하지만, 구강 위생을 유지하기 위한 노력이 필요합니다. 이는 제로네이트의 장기적인 효과를 보장하는 데 필수적입니다.


5. 영구적인 변화
🔄 되돌릴 수 없음
한 번 시술된 제로네이트는 되돌릴 수 없습니다. 따라서 시술 전에 충분한 상담과 고려가 필요합니다. 제로네이트 시술을 결정하기 전에 치과의사와 충분히 상담하고, 자신의 구강 상태와 필요에 맞는지 평가하는 것이 중요합니다.
⚖️ 신중한 결정
영구적인 변화가 발생하므로, 제로네이트 시술을 고려할 때는 모든 가능성을 검토하고, 신중하게 결정해야 합니다.
래미네이트와 제로네이트의 차이점: 무엇이 다를까?
제로네이트와 래미네이트는 치아 미용 치료에서 많이 사용되는 방법입니다. 두 치료법의 차이점을 비교해 보겠습니다.
1 두께와 치아 삭제량
🦷 라미네이트
일반적으로 두께가 0.5mm에서 1mm 정도로, 치아의 표면을 일부 삭제해야 합니다. 이로 인해 자연치의 일부가 손실될 수 있습니다.
🦷 제로네이트
두께가 0.01mm로 매우 얇아 치아 삭제량이 거의 없거나 아예 없습니다. 이는 자연치를 최대한 보존할 수 있다는 장점이 있습니다.
🔍 비교
라미네이트는 치아 삭제가 필수적이지만, 제로네이트는 치아 삭제가 거의 필요하지 않아 자연치를 보존할 수 있습니다.
2 심미성
🎨 라미네이트
자연스러운 외관을 제공하지만, 두께로 인해 일부 경우에는 치아와 잇몸 사이에 경계가 보일 수 있습니다.
🎨 제로네이트
매우 얇아서 자연스러운 치아 색상과 질감을 더욱 잘 구현할 수 있습니다. 경계가 거의 보이지 않아 심미성이 뛰어납니다.
✨ 비교
제로네이트는 래미네이트보다 더욱 자연스러운 외관을 제공하며, 경계가 덜 보이는 점에서 심미성이 우수합니다.
3 내구성
🛡️ 라미네이트
내구성이 높아 오랜 기간 사용할 수 있지만, 강한 충격에는 깨질 수 있습니다.
🛡️ 제로네이트
높은 내구성을 자랑하며, 일상적인 마모에도 견딜 수 있습니다. 그러나 두께가 얇아 강한 충격에는 약할 수 있습니다.
💪 비교
제로네이트는 내구성이 높지만, 두께가 얇아 강한 충격에 약할 수 있으므로 주의가 필요합니다.
4 시술 과정
🔧 라미네이트
치아 표면을 일부 삭제한 후 래미네이트를 부착합니다. 시술 과정이 비교적 복잡할 수 있습니다.
🔧 제로네이트
치아 삭제가 거의 필요하지 않으므로 시술 과정이 간단하고 빠릅니다.
🔨 비교
제로네이트는 시술 과정이 간단하여 시간이 덜 소요되며, 치아 손상을 최소화합니다.

5 비용
💸 라미네이트
비교적 저렴한 편입니다. 70~80만 원
💸 제로네이트
고가의 시술로, 래미네이트보다 비용이 높을 수 있습니다. 50~100만 원
💰 비교
제로네이트는 래미네이트에 비해 비용이 높지만, 자연치 보존과 심미성에서 장점을 가지고 있습니다
6 적용 범위
🔄 라미네이트
치아 변색, 틈, 기형 치아 등 다양한 미용 문제를 해결할 수 있습니다.
🔄 제로네이트
래미네이트와 비슷한 문제를 해결할 수 있지만, 치아 삭제가 거의 없다는 점에서 더 많은 환자에게 적합할 수 있습니다.
🔍 비교
제로네이트는 치아 삭제가 거의 없어 더 많은 환자에게 적합하며, 라미네이트와 비슷한 미용 문제를 해결할 수 있습니다.
제로네이트와 래미네이트는 모두 치아 미용을 개선하는 효과적인 방법이지만, 각기 다른 장단점을 가지고 있습니다.
제로네이트는 자연치 보존과 높은 심미성을 제공하지만, 비용이 높고 수리가 어렵다는 단점이 있습니다.
반면 라미네이트는 비교적 저렴하지만, 치아 삭제가 필요하고 내구성이 떨어질 수 있습니다.
이러한 차이점을 고려하여 개인의 구강 상태와 필요에 맞는 선택을 하는 것이 중요합니다. 최종 결정은 치과 전문의와의 상담을 통해 가장 적합한 방법을 선택하는 것이 좋습니다.

'치과' 카테고리의 다른 글
| 불소도포 부작용 주의사항 어린이시기 불소도포후 식사 비용 (0) | 2024.08.01 |
|---|---|
| 잇몸 증식(치아 증식증) 잇몸 부어오름 잇몸비대 원인 증상 치료법 고혈압 (0) | 2024.07.31 |
| 치과 마취후 부작용 주의사항 치과 마취 풀리는 시간 (0) | 2024.07.29 |
| 잇몸패임 치아시림 치아마모증 원인 증상 예방법 치료법 (1) | 2024.07.26 |
| 임신성 치은염 증상 주요원인 예방법 치료법 치료시기 (0) | 2024.07.25 |